
DAY SEVEN: KUTSUCHI NO MUSHI
("Epilepsy Bug")
Written by Jonathan Wojcik, Researched and Translated by Rev Storm
Design Review:
Very, very cool and very creepy, the birdlike beak is very distinct and the lack of pupils make this worm feel much more ghoulish. The artist didn't make them look more "wide open" than most of his other bugs, but I get the idea; like human eyes rolled back up into their sockets, right? Like someone having a seizure! Nasty!TODAY'S REAL WORLD PARASITE:
Taenia solium

Yesterday we looked at the adult stage of the beef tapeworm, but today, we look at the larval stage of the pork tapeworm, and you're actually in for a far more unpleasant ride.
We said that an adult tapeworm sends millions of eggs down the old log flume, but to what end? The ultimate goal is for those eggs to contaminate water, soil, and low-growing vegetation where they wait to be ingested by their first target host, such as a cow, a sheep, or for the pork tapeworm,
Just as a refresher from yesterday, a tapeworm larva passes into the intestine and becomes an adult once it hits the stomach acid, but we're not dealing with larvae here. We're talking about the eggs right now. When an egg is hatched by the gastric juices, the brand new larva immediately tunnels its way out of the stomach lining and keeps tunneling until it hits muscle tissue, where it curls up and becomes that tough little cyst embedded in the host's meat, waiting for that meat to be devoured by a mountain lion or a wolf or a texan. If this is confusing, let's try putting it in pokemon-like terms:
What would that acid be anyway? A trade item? Anyway, what this means is that when you swallow tapeworm larvae from raw pork, you actually gey the relatively safer tapeworm. That become the stage that quietly chills out in your colon and makes the eggs. Those eggs don't go to your stomach, but out through your backdoor and into the sewer before they can hurt you...and no PEOPLE are out there chugging dookie water, right?
...Right!??!
Well...all it takes for one single, tiny, microscopic egg to somehow make it into a human mouth, and sometimes that can be as simple as somebody just not washing their hands thoroughly enough. Sometimes one disaster or another might just back the contents of a septic tank up into the same water everybody has to drink. And sometimes, well, HAPPY BIRTHDAY again, human sewage sludge can also make a nice, cheap fertilizer for crops. Again, this is something we have regulations for, but a lot of people with a lot of money and power would rather those regulations be gone and have put a lot of effort into repeatedly loosening them up.
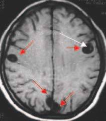
So, when the egg stage is swallowed from dookie or something that got dookie on it, you end up with the tunneling stage of the tapeworm...and that's not even the worst of it. The worst of it is that the tunneling stage of a pork tapeworm is adapted for, you know, a pig. You're not a pig. You're not shaped like a pig and you don't have a pig's biochemistry. In a human body, the poor babies never find anything they recognize as swine muscular tissue and they can end up encysting themselves virtually anywhere in the body by mistake, where they might even die and begin to rot by the way.
Just to clarify:




